作者简介:李惠霞(1972-),女,甘肃天水人,副教授。E-mail:lihx@gsau.edu.cn
2013年8月下旬,对甘肃天祝高寒草甸草原孢囊线虫发生情况进行调查,从嵩草和矮嵩草根部和根际土样中分离得到孢囊线虫。通过对孢囊和孢囊阴门锥的形态观察,初步鉴定为禾谷孢囊线虫( Heterodera avenae)。其特征为孢囊浅褐色,阔柠檬形,阴门锥双膜孔,未见阴门下桥,泡状突明显。利用通用引物AB28和TW81对其群体rDNA-ITS区进行PCR扩增和序列测定,得到ITS区序列长度为1045 bp。将所测得序列在Genbank和Blast上比对,结果显示,此禾谷孢囊线虫群体与 H. avenae群体相似度达99%~100%。进一步证实寄生于甘肃天祝高寒草甸草原嵩草和矮嵩草的孢囊线虫均为 H. avenae,这是首次报道莎草科嵩草和矮嵩草也是禾谷孢囊线虫的寄主。
A survey of grass cyst nematodes in Tianzhu alpine meadow steppe, Gansu Province was conducted in August, 2013. Cyst nematodes were isolated from the roots and root rhizosphere of Kobresia sp. and Kobresia humilis. The nematodes were initially identified as Heterodera avenae based on cyst characteristics, particularly the cyst vulva cones. The cysts were light brown, large lenmon-shaped and contained vulva cones with bifenestrate and obvious bullae and without a vulva under-bridge. The 1045 bp sequence fragment of ITS region was amplified using PCR with general primers AB28 and TW81. The similarities between these groups and H. avena were 99%-100%. Molecular analysis confirmed that the cyst nematodes isolated from Kobresia sp. and Kobresia humilis growing in Tianzhu alpine meadow steppe were H. avenae. This is the first report identifying Kobresia sp. and Kobresia humilis as hosts of H. avenae.
禾谷孢囊线虫(Heterodera)是一类危害小麦(Triticum aestivum)、大麦(Hordeum vulgare)、燕麦(Avena sativa)等禾谷类作物的世界性重要病原线虫。属于复合种群组, 包括12 个有效种, 其中禾谷孢囊线虫(Herodera avenae), 菲利普孢囊线虫(H. filipjevi)和麦类孢囊线虫(H. latipons)是最为常见且最具经济重要性的种[1, 2, 3]。H. avenae是温带地区禾谷类植物上最重要的, 也是世界上分布最广的种[1, 4]。目前, H. avenae在我国湖北、河南、河北、山东、山西、青海、内蒙古、北京、安徽、陕西、甘肃、江苏、宁夏、天津、新疆和西藏等16个省市自治区分布报道的小麦禾谷孢囊线虫主要为该种[5, 6, 7, 8, 9, 10, 11, 12]。H. filipjevi分布在欧洲、美洲和中亚[2, 8], 彭德良等[13]在河南省临颍、许昌、卫辉和延津发现H. filipjevi。H. latipons主要分布在地中海地区[2, 14, 15], 我国尚未见报道。
禾谷孢囊线虫除危害小麦、大麦和燕麦, 齐淑华等[16]报道禾谷孢囊线虫可危害青稞(Hordeum vulgare var.nudum)。王明祖等[17]的研究表明除小麦、裸大麦(Hordeum sativum var.hexastichon)、米大麦(Hordeum vulgare)、家燕麦(Avena sativa)、野燕麦(Avena fatura)外, 黑麦草(Lolium perenne)、鹅观草(Roegneria kanoji)、苇状羊茅(Festuca elatior var. arundinucea)、球茎草芦(Phalaris tuberosa)和鸭茅(Dactylis glomerata)等禾本科植物也是该线虫的良好寄主。这些多年生的禾本科植物作为禾谷孢囊线虫的中间寄主或桥梁寄主存在于麦类作物田间。西北农牧交错带分布最广, 面积最大的, 是以各种针茅为主的丛生禾草高寒草原, 以紫花针茅(Stipa purpurea)和坐花针茅(S. subssesiliflora)为主的典型草原, 还有以戈壁针茅(S. gobica)和沙生针茅(S. glareosa)为主的荒漠草原, 以嵩草属(Kobresia sp.)为建群种的草甸草原, 其建群的群系主要为禾草和莎草, 而这些牧草很可能也是禾谷孢囊线虫的寄主。但对于农牧交错带禾谷孢囊线虫对牧草的寄生情况了解甚少, 因此, 针对寄生于牧草的孢囊线虫的种类、交叉侵染、生态分布多样性进行研究, 显得尤为重要。
rDNA-ITS序列是一个多用途的遗传标记, 常用 ITS-RFLP(internal transcript space-restriction fragment length polymorphism)分析线虫不同群体的差异及多态性。Subbotin等[18] 研究了70个H. avenae复合种群的ITS-RFLP 图谱, 揭示出H. avenae 是一个并系分类群, 中国禾谷孢囊线虫不同于其他的H. avenae 群体。彭德良等[19]对7个国内种群与摩洛哥种群做RFLP分析, 发现我国部分群体属于“ B ” 型。欧师琪等[20]用6种限制性内切酶酶切发现, 陕西禾谷孢囊线虫群体和青海群体、河南群体不完全一致, 呈现丰富的多样性。上述国内外的研究充分说明我国不同地域H. avenae群体间rDNA-ITS具有丰富的多样性。
综上所述, 近年来, 麦类作物孢囊线虫的研究得到广泛重视, 但对于农牧交错带禾谷孢囊线虫对麦类和牧草的寄生情况了解甚少, 因此, 针对寄生于牧草的孢囊线虫的种类多样性进行研究, 显得尤为重要。本文利用形态学和分子生物学手段相结合的方法对天祝高寒草甸草原的针茅(Stipa capillata)、披碱草(Elymus dahuricus)、嵩草和矮嵩草(Kobresia humilis)孢囊线虫进行鉴定, 以期明确天祝草原孢囊线虫的种类。
于2013年8月牧草生长季在甘肃省天祝高寒草甸草原不同地点进行采样。采用“ Z” 字形法采集受害牧草根及根际土壤, 每点采取5~20 cm深处的土样500~1000 g, 充分混匀, 取其中的500~1000 g作为一个标样, 带回实验室进行线虫分离。具体采样信息见表1。
采用简易漂浮法进行孢囊的分离, 取200 g土样用强水流冲洗, 搅动, 沉淀片刻, 将混合物通过20目(850 μ m) 和60目(250 μ m)的样品筛, 重复以上步骤3次。再用小水流轻轻清洗60目(250 μ m)筛上残余物, 将其淋洗入三角瓶中, 用滤纸过滤收集, 4℃冷藏备用。
1.3.1 二龄幼虫标本的制作
将二龄幼虫置于60℃水浴2 min, 进行热杀死, 用三乙醇胺-福尔马林液(TAF)固定过夜。用吸管汲取一滴浮载剂滴于洁净载玻片中央。在体视显微镜下用挑针将固定好的二龄幼虫挑至载玻片中央的浮载剂中。选取与线虫虫体直径相似的3根5 mm左右的支撑物, 均匀置于浮载剂边缘, 将烤热的盖玻片盖于浮载剂上, 应避免产生气泡。在体视显微镜下用裁成小条的滤纸吸取多余的浮载剂。然后用封片剂封片。待封片剂干后, 贴上标签, 即可用于短时间形态的观察、拍照并测量。
1.3.2 孢囊阴门锥标本的制作
用细毛笔挑取饱满孢囊置于载玻片的水滴中, 在体视显微镜下用锋利的解剖刀切下孢囊阴门锥部分。用毛针或竹针仔细清除阴门锥内附着物, 用刀适当修正阴门锥边缘, 最好使阴门锥的高度不超过阴门窗区域宽度的10~15倍。将切下的阴门锥用40%双氧水处理数分钟。将阴门锥移至载玻片的水滴中, 用凡士林封片制成临时玻片。在光学显微镜下进行形态的观察、拍照、测量及参照王明祖等[17]的方法鉴定。
从检出孢囊的样品中, 挑取饱满的孢囊, 参考彭德良等[11]的方法提取孢囊线虫的DNA, 将单个孢囊放入Eppendorf管中, 加入10 μ L灭菌重蒸水、7 μ L的10× PCR-buffer(含Mg2+)、3 μ L蛋白酶K(600 μ g/mL), 在液氮中速冻1 min, 取出后用75%乙醇消毒的玻璃棒研磨1~2 min后, 置于-20℃冷冻至少2 h。之后, 将Eppendorf管置于65℃下温育1.5 h, 95℃10 min, 4℃至少5 min。最后, 12000 r/min离心1 min。取DNA上清液于-20℃保存备用。
反应采用50 μ L体系, 10× PCR-buffer(含Mg2+)5.0 μ L, dNTPs 4 μ L, 引物TW81 (GTTTCCGTAG GTGAACCTGC)1 μ L, 引物AB28 (ATATGCTTAAGTTCAGCGGGT)1 μ L, ExTaq DNA Polymerase(5 U/μ L)1 μ L, 模板DNA 3.0 μ L, 灭菌双蒸水补足到50 μ L, 同时设置无DNA模板的阴性对照。在Eppendorf PCR仪上进行扩增, 扩增反应条件为94℃预变性5 min, 94℃ 30 s, 55℃ 45 s, 72℃ 1.5 min, 循环35次, 72℃延伸10 min, 4℃ 5 min, 最后-20℃保存。取10 μ L扩增产物加2 μ L 6× Loading buffer在1.5%琼脂糖凝胶上电泳, 用0.5× TAE电泳缓冲液, 120 V电泳40 min, EB染色, 在BIO-RAD成像仪紫外光灯下观测并照相。
将上述电泳后的目的条带切下, 用普通琼脂糖凝胶DNA回收试剂盒(TIANGEN)按步骤进行回收纯化。取4 μ L纯化后的产物与6 μ L pMD18-T vector在16℃连接4 h, 然后将10 μ L连接产物转入感受态细胞DH5α 中, 用热击法进行转化后均匀涂在含有Ampicillin (100 mg/L)、IPTG(24 mg/L)和X-gal(200 mg/L)的LB(Luria-Bertani)培养基平板上, 之后倒置在37℃培养箱中12~16 h, 进行蓝白斑筛选。挑取单个白斑于含有Ampicillin(100 mg/L)的液体LB中置于37℃ 200 r/min振荡培养6 h, 经菌液PCR鉴定后, 将含有正确片段的菌液进行测序。所得序列用Chromas、DNAMAN分析比对, 在GenBank注册, 并在NCBI下载已知近缘种序列, 用MEGA 5.2中的UPGMA法构建禾谷孢囊线虫群体的系统发育树, 进行亲缘关系分析。
采集到不同地点禾本科牧草的20份根部和根际土样, 其中嵩草和矮嵩草根部观察到寄生于根部的白色雌虫(图1), 并从其根际土样中分离得到2个浅褐色孢囊群体, 每100 g土样中孢囊数分别为36个和54个。孢囊密度较高, 表明嵩草和矮嵩草是其良好寄主。但在针茅和披碱草根部均未观察到白雌虫, 根际土样也未分离到孢囊(表1)。
| 表1 甘肃省天祝高寒草甸牧草孢囊线虫发生情况 Table 1 Occurrence of cyst nematode on grass from alpine meadow steppe of Tianzhu, Gansu |
对收集自嵩草和矮嵩草的2个孢囊线虫群体进行形态学观察(图1), 孢囊柠檬形, 颈部明显, 呈浅褐色, 孢囊长(584.1± 63.2) μ m(472~691 μ m); 孢囊宽(451.9± 56.9) μ m(264~519 μ m)。阴门锥膜孔为双膜孔, 无下桥, 阴门裂清晰可见。形态测量值分别为:阴门膜孔长(29.2± 2.4) μ m(25~32 μ m); 膜孔宽(14.3± 1.5) μ m(12~17 μ m); 阴门裂长(8.9± 1.6) μ m(7~11 μ m), 且阴门锥下方有较多泡状突。二龄幼虫都为线形, 唇区圆, 与身体连接处缢缩明显, 口针强壮, 中食道球发达。尾部呈锥形, 有较长的透明区, 其相关形态测量值为:线虫体长(382.4± 28.9) μ m(314.1~421.9 μ m); 线虫体宽(22.7± 2.1) μ m(19.5~26.9 μ m); 体长/虫体最宽处体宽(17.0± 1.9) μ m(14.1~20.0 μ m); 体长/尾长(10.4± 1.6) μ m(7.0~11.6 μ m); 尾长(37.3± 5.8) μ m(28.7~58.6 μ m); 透明尾长(27.3± 5.7) μ m(19.1~36.6 μ m)。受精卵长(108.4± 6.5) μ m(97.1~121.1 μ m); 受精卵宽(48.2± 5.0) μ m(40.2~55.9 μ m); 卵量(粒/孢囊) (231.5± 36.9) (196~311)。根据上述形态观察和测量值, 参考文献[21-23], 将分离自甘肃天祝嵩草和矮嵩草的孢囊群体鉴定为禾谷孢囊线虫(H. avenae)。
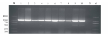
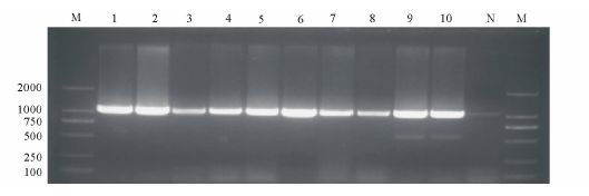
将采集自嵩草和矮嵩草的2个孢囊线虫群体编号为群体Ⅰ 和群体Ⅱ , 从群体Ⅰ 随机挑选10个饱满的孢囊, 编号依次为GS1~GS10, 从群体Ⅱ 随机挑选10个饱满的孢囊, 编号依次为GS11~GS20。以AB28和TW81为引物, 对上述2个孢囊线虫群体rDNA-ITS进行扩增, 得到所有片段长多约为1000 bp, 阴性对照无扩增条带出现(图2, 图3)。
将PCR产物经回收, 纯化, 克隆和测序, 最终得到长度均为1045 bp的ITS序列, 将序列提交Genbank并与NCBI下载的ITS序列进行Blast比对, 这些序列分别包括Avenae组的有效种(澳大利亚的H. australis, 中国、法国、德国、以色列、印度的H. avenae, 德国的H. mani, 美国的H. filipjevi, 英国的H. arenaria)、Schachtii组(伊朗的H. glycines、比利时的H. schachtii)、Goettingiana组(德国的H. goettingiana、荷兰的H. cruciferae、意大利的H. carotae)和比利时H. urticae。用MEGA5.2的UPGMA方法构建ITS区的系统发育树(图4)。
聚类分析结果表明, 所有的序列聚为3个大的分支, 其中本研究中的9个禾谷孢囊线虫群体与上述Avenae组的10个群体聚为一个大的分支, H. glycines和H. schachtii聚为一分支, 其置信度为100。Goettingiana组3个群体和H. urticae为一类。在Avenae组的分支中, 本研究线虫群体与中国的禾谷孢囊线虫和澳大利亚的H. australis群体聚为一个小的分支, 其他国家的H. avenae聚在另外一个小的分支中。
孢囊线虫病在我国的分布逐年扩大, 已成为小麦的重要病害, 严重威胁我国粮食的安全生产。农牧交错带农业种植区与草原畜牧区相连接的生态过渡地带, 又称半农半牧区或生态脆弱带。在过渡带内, 种植业和草地畜牧业在空间上交错分布, 具有生态多样性和复杂性。西北农牧交错带是遏制西北荒漠化、沙化东移和南下的生态屏障。处于甘肃中部的天祝高寒草甸草原(东经102° 01'-103° 40', 北纬36° 45'-37° 54')是半农半牧区, 麦类作物及禾草种类多样。本研究采集高寒草甸牧草(针茅、披碱草和矮嵩草)根部及根际土壤, 观察根部并分离样品中的孢囊。其结果显示, 采自嵩草和矮嵩草根际土样中分离到孢囊, 在其根部发现白色雌虫。这表明, 莎草科嵩草和矮嵩草可以作为禾谷孢囊线虫的寄主。该结果首次表明H. avenae的寄主不局限于禾本科植物, 还包括莎草科植物。
禾谷孢囊线虫种群的鉴定目前主要采用形态特征和分子生物学相结合的方法。形态特征鉴定主要包括对孢囊、阴门锥及二龄幼虫形态的观察以及相关体值的测定, 但是仅根据形态学和形态测量值区别这12个种比较困难, 需要许多专业知识和技巧, 用单个个体经常不能鉴定到种的水平。本研究对采集自甘肃天祝高寒草甸草原嵩草和矮嵩草的根际土样中孢囊进行了形态观察和形态体值的测量, 形态特征与陈品三等[21] 、Zafar[22]和王明祖[23]禾谷孢囊线虫的描述基本一致, 但形态测量值略微偏小。形态测量值的略微偏差, 可能是生态环境、地域差异造成, 不同的寄主也可能对群体分化存在一定的影响。孢囊线虫rDNA-ITS的多种内切酶的RFLP 图谱可用来分析禾谷孢囊线虫种内ITS多态性, 彭德良等[19]用11 种限制性内切酶酶切禾谷孢囊线虫ITS 扩增产物, 成功地将采集到的禾谷孢囊线虫ITS与摩洛哥群体ITS 分开, 分别属于“ B 型” 和“ A型” 。欧师琪等[20]用6种限制性内切酶酶切发现, 陕西禾谷孢囊线虫群体和青海群体、河南群体不完全一致, 呈现丰富的多样性。分子生物学鉴定是通过rDNA-ITS区序列的分子特征分析, 结合以形态学鉴定提高了禾谷孢囊线虫种类鉴定的准确性。ITS构建的系统发育树表明, 本研究线虫群体与中国的禾谷孢囊线虫、德国的H. pratensis和澳大利亚的H. australis群体聚为一个小的分支, 揭示了它们之间具有更高的亲缘关系。
本研究对寄生于甘肃中部天祝高寒草甸草原牧草(嵩草和矮嵩草)的孢囊线虫群体进行形态学鉴定和rDNA-ITS区序列的分子特征分析。结果显示, 该群体均为禾谷孢囊线虫, 这是首次报道莎草科嵩草和矮嵩草也是禾谷孢囊线虫的寄主植物。
The authors have declared that no competing interests exist.
| [1] |
|
| [2] |
|
| [3] |
|
| [4] |
|
| [5] |
|
| [6] |
|
| [7] |
|
| [8] |
|
| [9] |
|
| [10] |
|
| [11] |
|
| [12] |
|
| [13] |
|
| [14] |
|
| [15] |
|
| [16] |
|
| [17] |
|
| [18] |
|
| [19] |
|
| [20] |
|
| [21] |
|
| [22] |
|
| [23] |
|
| [5] |
|
| [6] |
|
| [9] |
|
| [10] |
|
| [11] |
|
| [12] |
|
| [13] |
|
| [16] |
|
| [17] |
|
| [19] |
|
| [20] |
|
| [21] |
|
| [23] |
|

